IPC Indwelling Pleural & Peritoneal Catheter
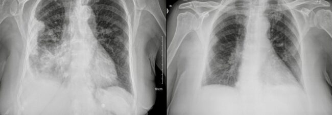
Introduction Recurrent pleural effusions (RPEs) are defined as pleural effusions that recur despite optimal therapy for the underlying etiology of the effusions and typically require multiple thoracenteses or a more definitive therapeutic modality to prevent a recurrence. Indwelling pleural catheters (IPCs) have emerged in the past decade as a very effective modality to treat and…










