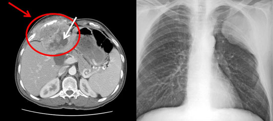
Chest Wall Cancer
Primary chest wall cancers are a large group of benign or malignant tumors, which are originated from cortex, bone, cartilage and soft tissues in thorax. Spreads in the chest wall can stem from lungs, pleura, muscles, or breast cancer. These might be distant spreading or more often local involvement. Various non-cancer diseases might also spread…

